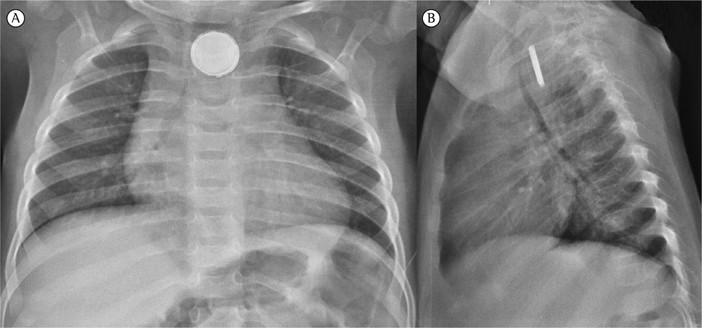
È finalmente fuori pericolo il bambino di 17 mesi arrivato al Pronto Soccorso dell’Ospedale G. Gaslini nella notte di sabato 14 maggio, dalla provincia Savona per "vomito con sangue ed anemia”. I genitori hanno raccontato ai medici che da una settimana non stava bene, non voleva mangiare ed aveva febbricola. Il chirurgo di Pronto Soccorso, dott. Vittorio Guerriero lo aveva immediatamente sottoposto a radiografia, rilevando un immediato pericolo di vita: si trattava di una pila al litio localizzata nell'esofago del bambino, che aveva determinato vomiti di sangue e progressiva anemizzazione da necrosi colliquativa (il meccanismo di danno dell'esofago) e conseguente ulcerazione del viscere.
“Nella notte del 14 maggio è stata attivata immediatamente la task force che comprende: radiologo, chirurgo toracico, cardiochirurgo, endoscopista digestivo, endoscopista respiratorio, strumentiste, perfusioniste, anestesisti e rianimatori. Al bambino è stata praticata, dopo pochi minuti dall'acceso in PS, un’intubazione dal dott. Andrea Dato e dalla dott.ssa Lara Petrucci, quindi si è proceduto con l'apertura del torace ad opera del cardiochirurgo Francesco Santoro e del chirurgo toracico Michele Torre, i quali hanno messo in sicurezza i grandi vasi dall'esofago danneggiato; quindi sono intervenuti gli endoscopisti digestivi - dott. Paolo Gandullia e dott.ssa Serena Arrigo - che hanno avuto difficoltà a localizzare la pila perchè il tessuto era necrotico, si sfaldava e sanguinava; la pila inoltre aveva scavato con il tempo una nicchia. Dopo la rimozione del tessuto che la copriva, è stata rimossa per via endoscopica. Quindi l'endoscopista respiratorio, dott. ssa Annalisa Gallizia, ha esaminato la trachea per escludere un potenziale danno alle vie respiratorie. Dopo circa due ore si è concluso l’intervento” spiega Raffaele Spiazzi, Direttore Sanitario dell’ospedale Gaslini.
Dopo l’intervento il piccolo è stato quindi trasferito nel reparto di Terapia Intensiva Neonatale e Pediatrica diretto da Andrea Moscatelli, dove è rimasto ricoverato per 3 settimane in prognosi riservata. Il rischio, spiegano i medici che hanno dovuto trattare in questo modo altri casi, era che l'esofago si perforasse: infatti il danno caustico della pila si perpetra per diversi giorni nonostante l'asportazione della pila.
“Anche ieri sera è arrivato un bambino di 2 anni al quale è stato riscontrata l’ingestione di una pila a disco, fortunatamente è risultata essere localizzata nello stomaco e non nell’esofago, il bambino sarà ricoverato in osservazione fino alla naturale espulsione della pila- racconta Paolo Gandullia direttore dell’UOC Gastroenterologia del Gaslini-. Nelle scorse settimane abbiamo dovuto affrontare 4 casi: arrivati al Pronto Soccorso dell’Istituto Gaslini con sospetti di ingestione di pila a bottone: uno si è rivelato fortunatamente un falso allarme, un secondo bambino è stato trattenuto in osservazione, poiché da esame radiologico risultava l’ingestione di una pila, ed è stato dimesso dopo 24 ore, in seguito alla naturale espulsione nelle feci e relativi controlli. Il terzo bambino è quello sottoposto ad intervento, per il quale oggi sciogliamo la prognosi. Un quarto è arrivato ieri sera”.
“Con i nostri specialisti, anche alla luce di un protocollo multidisciplinare condiviso, abbiamo deciso di richiamare ancora una volta l’attenzione dei genitori sulla prevenzione di questo tipo di grave incidente, dagli esiti potenzialmente mortali. La task force del Gaslini medico-infermieristica ha saputo reagire efficacemente e in tempi strettissimi; purtroppo però questi casi continuano a presentarsi: l’ingestione della pila al litio continua a meritarsi l'appellativo di killer silenzioso” spiega Raffaele Spiazzi, Direttore Sanitario dell’ospedale Gaslini.
“L’ingestione di corpi estranei nel bambino piccolo rappresenta un pericolo reale e un frequente motivo di accesso al Pronto Soccorso. Esistono corpi estranei particolarmente pericolosi e dannosi per le strutture interne dell’organismo: in particolare le pile a bottone, alcaline o al litio. Si tratta di dischi metallici delle dimensioni di un bottone o di una piccola moneta che si trovano nei giocattoli, oltre che in una serie di strumenti di uso quotidiano come orologi, sveglie, apparecchi acustici, telecomandi, etc. La loro azione lesiva avviene per il corto circuito tra polo positivo e negativo, soprattutto nei segmenti digestivi a stretto contatto con le mucose ed in particolare nell’esofago dove le lesioni ulcerative possono essere potenzialmente presenti già dopo 2 ore dall’ingestione. Pertanto l’ingestione di una pila a bottone, specie se avviene lontano dagli occhi di chi accudisce i bambini, può provocare sanguinamenti intestinali, dolore toracico o dorsale, improvviso rifiuto del cibo, vomito, scialorrea, tosse e sintomi respiratori” sottolinea Emanuela Piccotti, direttore del Pronto Soccorso del Gaslini.
GENITORI, FATE ATTENZIONE ALLE PILE a bottone!
Seguite questi importanti consigli di prevenzione PRIMARIA facendo in modo che l’incidente NON avvenga:
• Non permettete ai bambini piccoli di giocare o toccare oggetti che contengono pile.
• Fate attenzione se bambini di età pre-scolare giocano con tali oggetti.
• Assicuratevi che i giocattoli o gli oggetti per adulti abbiano un vano chiuso ermeticamente.
• Non fate “scorta” di tali pile in quanto è difficile tenerle tutte in posti sicuri per i bambini.
• Quando sostituite le pile “ esaurite”, smaltitele negli appositi contenitori senza lasciarle incustodite
Se anche solo sospettate che il vostro bambino abbia ingerito una pila a bottone recatevi immediatamente al Pronto Soccorso o, se impossibilitati, chiamate il 112/118.






